首页 >> 生活百科

核磁共振有没有核辐射?它背后是哪些物理原理

2023-12-14 生活百科 5521 作者:网友投稿

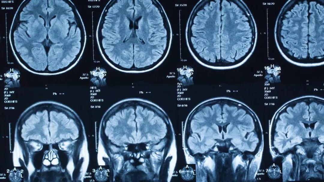
核磁共振成像是医学中应用最广泛的成像方法之一,由于担心人们认为其名称中的“核”与核辐射有关,因此将它重命名为磁共振。事实上,这个“核”与核辐射无关,只是用来描述产生共振的原子核,更准确来说应该是原子核的旋转。

1940年代,费利克斯·布洛赫和爱德华·珀赛儿已经发现了核磁共振现象,并在1952年获得了诺贝尔物理学奖。1977年,在美国纽约第一次使用这种技术进行人体扫描。

核磁共振简介

如果将原子核放入与时间无关的磁场中,它就会有一种特定的共振频率。这种频率取决于原子核的类型,以爱尔兰物理学家约瑟夫·拉莫尔命名,称为拉莫尔频率。原子核在磁场中一般是不旋转的,但如果我们再让电磁波以正确的共振频率穿过原子核,那么原子核将吸收电磁波的能量,开始旋转起来。

当电磁波停止后,原子核会慢慢停止旋转并释放它从电磁波提取的能量,我们可以对这种能量进行测量。我们测量到有多少能量取决于有多少原子核与电磁波共振。因此,我们可以利用信号强度来判断样本中有多少特定类型的原子核。

对于人体中的核磁共振成像,通常以氢核为目标,因为其中水和脂肪中有很多,然后图像的亮度基本上可以告诉我们脂肪和水的数量。人们也可以瞄准其它原子核并进行测量,这就导致了不同核磁共振图像的工作方式不同。核磁共振成像非常适合于检查软组织,而对于骨折一般则使用X射线成像。

物理原理

更详细地说,核磁共振的物理原理如下。原子核由中子和质子组成,中子和质子的自旋相结合为原子核提供总自旋。总自旋可能为零也可能不为零,具体取决于原子核中质子和中子的数量。如果原子核的自旋不为零,则原子核具有磁矩,这意味着它将在磁场中以取决于原子核成分和磁场强度的频率自旋,这就是核自旋共振工作的拉莫尔频率。

如果有在强磁场中自旋的原子核,那么它们的自旋将与磁场对齐。假设我们有一个指向z方向的恒定且均匀的磁场,那么核自旋也将优先指向z方向。然而,由于热运动的存在,这会出现一些偏差,有一些原子核的自旋方向甚至与z方向相反。所有原子核的净磁矩称为磁化强度,它最终将指向z方向。在核磁共振机器中,z方向一般是从头到脚的方向。

如果此时我们施加一个以共振频率振荡的横向电磁场,那么磁化就会远离z轴围绕z方向旋转,或者称之为在x和y的横向上进动。这个共振频率就是我们前面所提到的拉莫尔频率,它取决于原子核的类型,并且与磁场强度成正比。

最后

上述提到,共振频率与磁场强度成正比,正因为如此,我们可以使用磁场梯度来瞄准特定位置的原子核,生成不同位置的身体切片图像。

核磁共振使用的磁场非常强,通常是1.5-5个特斯拉。相比之下,这大约是地球磁场的几万倍,仅比大型强子对撞机所用磁场的强度低2-3倍。这些强磁场不会伤害你的身体,你只需要确保不要将磁性材料带入仪器中就行。

适合这些强磁场的共振频率在50到300Mhz的频率范围内,使用这些频率的电磁波能量太小,并不会破坏人体的化学键,因此是安全的。然而,有少量能量通过热运动沉积到人体组织中,因此我们会感觉到稍微发烫,所以我们必须注意不要做太长时间的核磁共振。

关于我们

鄂尔多斯供卵公司联系方式✅微信ivf0096✅只需8~14天,年龄18~28岁✅按身高,学历,长相✅分二代三代来决定价格✅来回报销车费✅提供吃住,鄂尔多斯供卵机构和正规供卵医院合作✅

最火推荐

小编推荐

联系我们


Copyright Your bbs0724.com Some Rights Reserved. 备案号:鄂ICP备15020773号-7
网站所载资料并非有意侵犯您的版权,如需删除投诉,请邮件联系我们及时处理。